image banner
image advertisement
image advertisement
image advertisement
image advertisement
image advertisement
image advertisement
image advertisement
image advertisement
image advertisement
Thống kê
  • Đang online: 0
  • Hôm nay: 1
  • Trong tháng: 0
  • Tất cả: 0
Cảnh giác với nhồi máu cơ tim ở người trẻ
Tuy nhiên, thời gian gần đây, nhiều trường hợp trẻ tuổi bị nhồi máu cơ tim nhập viện và được can thiệp. Điều này gióng lên hồi chuông cảnh báo cho người trẻ đối với bệnh lý tim mạch nguy hiểm này - vốn không nghĩ rằng bệnh này có thể đe dọa mình.

30 tuổi đã bị nhồi máu cơ tim

Bệnh nhân T.M.H.Q.V., 30 tuổi, nhập viện trong tình trạng đau ngực trái nặng, cơn đau lan lên cằm và cánh tay phải, đau liên tục, vã mồ hôi kèm khó thở.

Kết quả thăm khám cùng với xét nghiệm cận lâm sàng cho thấy bệnh nhân có dấu hiệu nhồi máu cơ tim cấp, thay đổi sóng điện tim, men tim tăng. Qua đó, các bác sĩ nhận định đây là một trường hợp nhồi máu cơ tim cấp, ST không chênh nguy cơ cao.

Sau khi hội chẩn các chuyên khoa, êkíp can thiệp tim mạch của bệnh viện quyết định chuyển bệnh nhân lên phòng thông tim, tiến hành can thiệp tái thông mạch máu tim ngay cho bệnh nhân.

Tại phòng thông tim can thiệp, bệnh nhân được chụp mạch vành bằng máy DSA - máy chụp mạch máu kỹ thuật số xóa nền và xác định chính xác vị trí mạch vành bị tắc hẹp do mảng xơ vữa hoặc huyết khối.

Kết quả chụp cho thấy: Hệ thống mạch máu tim của bệnh nhân hẹp ở rất nhiều vị trí và hẹp rất nặng, nhất là mạch máu tim bên phải. Điều này gây ngạc nhiên cho các bác sĩ vì bệnh nhân tuổi đời còn rất trẻ.

Sau hai giờ làm việc với sự tập trung cao độ của êkíp bác sĩ, ca can thiệp đã thành công: Các dấu hiệu sinh tồn của bệnh nhân ổn định, mạch máu tái thông tốt. Bệnh nhân được chuyển tới khoa hồi sức theo dõi và điều trị tiếp, hiện đã xuất viện và hồi phục tốt.

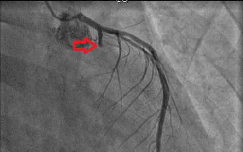
Cảnh giác với nhồi máu cơ tim ở người trẻ - Ảnh 1.

Hình ảnh chụp mạch vành sau khi bệnh nhân 25 tuổi được đặt 1 stent.

Dễ nhầm lẫn, khó phát hiện

Nhồi máu cơ tim xảy ra khi dòng máu cung cấp cho tim bị tắc nghẽn một phần hoặc hoàn toàn trong một thời gian. Nếu bệnh nhân có diện tắc tới 70%, có thể tử vong ngay lập tức, diện nhồi máu nhỏ thì nguy cơ tim sẽ hoại tử, hay có thể gặp rối loạn nhịp tim, suy tim...

Cũng giống như nhồi máu cơ tim, tai biến mạch máu não cũng là một dạng mà người bệnh cần được cấp cứu ngay. Tai biến mạch máu não do dòng máu vận chuyển oxy và các chất dinh dưỡng cần thiết để nuôi não bị tắc nghẽn hoặc bị vỡ mạch máu.

Nguyên nhân dẫn tới tai biến mạch máu não và nhồi máu cơ tim có nhiều điểm chung nên rất dễ nhầm lẫn do sự hình thành các cục máu đông gây tắc nghẽn mạch, mà nguyên nhân hàng đầu dẫn đến tình trạng này là do xơ vữa động mạch hoặc hẹp lòng động mạch.

Mảng xơ vữa động mạch gây hẹp lòng mạch một cách từ từ và thường rất âm thầm. Đôi khi, người bệnh chỉ cảm thấy một cảm giác tức nặng, khó chịu vùng ngực trái khi gắng sức và thường đỡ đi khi nghỉ ngơi. Phần lớn những người này bỏ qua triệu chứng đó và chỉ đi khám khi các dấu hiệu đã rõ ràng hơn (đau thắt ngực hoặc tức nặng ngực kéo dài, thậm chí chỉ khi vận động nhẹ).

Dấu hiệu sớm cảnh báo cơn nhồi máu cơ tim

Nhồi máu cơ tim là hiện tượng một cục huyết khối đột ngột làm tắc động mạch vành (mạch máu nuôi xung quanh quả tim). Hiện tượng này làm cho máu không chảy đến nuôi được phần cơ tim và làm một phần cơ tim bị chết đi. Tắc những mạch máu lớn có thể làm cho quả tim của bạn ngừng đập hoặc nó có thể gây ra một rối loạn nhịp chết người.

Tức ngực hoặc đau ngực: Phần lớn cơn đau tim sẽ khiến bạn thấy khó chịu ở giữa xương ức, có thể kéo dài hơn vài phút hoặc biến mất và sau đó quay lại. Bạn sẽ cảm giác như tim đang bị siết chặt, bóp nghẹt hoặc có vật nặng đè lên.

Khó chịu ở nửa trên thân người: Bạn có thể cảm thấy đau hoặc khó chịu ở một hoặc hai cánh tay, lưng, cổ, hàm hoặc dạ dày.

Khó thở: Tình trạng khó thở có thể kèm theo đau ngực hoặc không.

Một số triệu chứng khác: Ngoài ra bạn có thể thấy lạnh toát mồ hôi, buồn nôn hoặc đau đầu nhẹ.

Triệu chứng khác biệt giữa đàn ông và phụ nữ: Giống như cánh mày râu, triệu chứng phổ biến nhất của cơn đau tim ở chị em là đau ngực hoặc khó chịu. Tuy nhiên, chị em thường có biểu hiện khó thở, buồn nôn, nôn mửa và đau lưng hơn là nam giới.

Trong một số trường hợp, cơn đau tim có thể xảy ra đột ngột và dữ dội, nhưng phần lớn chúng diễn tiến từ từ, với cơn đau nhẹ hoặc khó chịu. Không nên chần chừ, mà hãy lắng nghe cơ thể của mình và xử trí thật nhanh, gọi cấp cứu hoặc đến một bệnh viện gần nhất có thể hoặc đến bệnh viện có trung tâm tim mạch can thiệp. Khi có dấu hiệu nghi ngờ nên đến viện sớm nhất có thể.

Thay đổi lối sống để tránh tái phát

Giảm tiêu thụ calo: Không chỉ là những gì bạn ăn là quan trọng, số lượng thực phẩm cũng rất quan trọng. Để giữ cơ thể cân đối và khỏe mạnh sau một cơn đau tim, bạn nên cẩn thận về các phần thức ăn hằng ngày. Hãy thử hạn chế lượng calo trong mỗi bữa ăn và cần phải tiêu thụ kiêng khem calo theo khuyến cáo trong một ngày.

Hãy chủ động rèn luyện thể chất: Bắt buộc 30 phút tập thể dục hàng ngày, tối thiểu 5 ngày/tuần. Bạn có thể chạy bộ, đi bộ hay các môn tập thể dục vừa sức cho phép khác. Bắt đầu tập thể dục từ từ và dần dần tăng cường độ lên.

Nếu khó khăn cho bạn duy trì tập thể dục trong vòng 30 phút, bạn có thể chia đôi: 15 phút cho mỗi lần tập. Nên thảo luận với bác sĩ trước khi bắt đầu bất kỳ chế độ tập luyện mạnh mẽ nào khác.

Tránh xa stress: Stress có thể là kẻ thù lớn nhất, vì vậy, cần quản lý stress để kiểm soát huyết áp tốt hơn và tốt cho sức khỏe chung. Chúng ta không thể loại bỏ stress từ cuộc sống hằng ngày, nhưng các môn tập như hít thở sâu, yoga và thiền có thể hữu ích để kiểm soát stress.

Ngủ đủ giấc: Ngủ đủ giấc là cách phục hồi sức khỏe tốt nhất và rất có lợi cho sức khỏe tim mạch, 7 - 8 giờ ngủ mỗi đêm là cần thiết. Tránh dùng cà phê hoặc trà trước khi ngủ và nên duy trì một thói quen ngủ theo lịch đã xây dựng. Tránh sử dụng các tiện ích như máy tính xách tay và điện thoại di động trên giường trước khi ngủ.

 

ĐƯỜNG DÂY NÓNG
0964.661.313
Thông báo
VIDEO - CLIP
  • NGÔN NGỮ TRỊ LIỆU TẠI SƠN LA - PHÁT SÓNG STV ĐÀI TRUYỀN HÌNH SƠN LA
1 
image advertisement
image advertisement
image advertisement
image advertisement

BỆNH VIỆN PHỤC HỒI CHỨC NĂNG TỈNH SƠN LA

Địa chỉ: Số 343 - Đường Lò Văn Giá - Tổ 6 Chiềng Lề - Phường Tô Hiệu - Tỉnh Sơn La

Điện thoại: 02123.567.989 - Email: bvphcn@sonla.gov.vn

Website: https://bvphcn.sonla.gov.vn/